VTK 三维 重建 体绘制 面绘制 面切割 手动切割
VTK 三维 重建 体绘制 面绘制 面切割 手动切割
截面框架MFC的,VTK的内容C++,平台无关
一个人几年前写的,当年用的还是VTK5.10呢,现在都8.几了吧,试了几个功能,还能用。工作量可以吧
加油吧,后来者们
加载dicom,选择成像范围
针对关注区域,省的以后再切割了

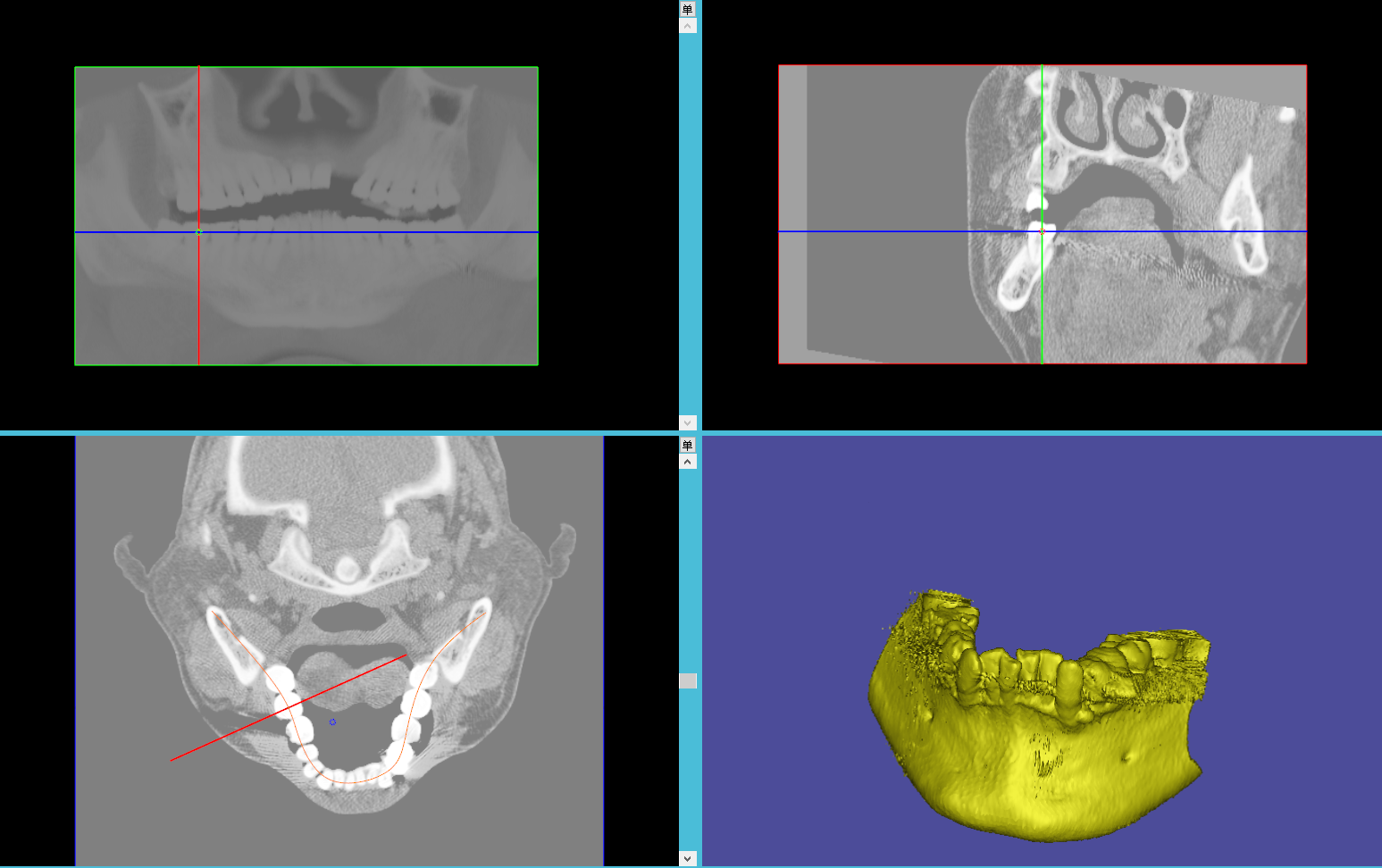
三视图显示
常规功能

统一调整窗宽窗位
显示出你想看到的不同密度区域

选择自己关注的密度区域
上色

选择自己关注的保留部位
后面 要裁剪啦

三维重建啦
体绘制

手动切割
把乱七八糟的东西给裁掉

裁完的效果

换个角度看截面

画一条可以调整的曲线
据说叫牙弓线

调整一下曲线
调整点的数量根据自己心情定

这叫曲面平展

换个角度看看

插入一个自己定义的什么东西
三个截面还得显示出来

调调角度啊颜色啊啥的

测测长度啊角度啊啥的

打个赏啊啥的
哈哈
本文来自互联网用户投稿,文章观点仅代表作者本人,不代表本站立场,不承担相关法律责任。如若转载,请注明出处。 如若内容造成侵权/违法违规/事实不符,请点击【内容举报】进行投诉反馈!
