《CELL》:提高NAD+水平,可减少肌肉淀粉样蛋白聚集,提升……
近日,瑞士洛桑联邦理工学院 Johan Auwerx 教授团队在 Cell 子刊 Cell Reports 上发表了题为:NAD+ boosting reduces age-associated amyloidosis and restores mitochondrial homeostasis in muscle 的研究论文。

衰老是一个复杂的、多因素的生物过程,其特征是许多细胞功能的下降,包括线粒体功能障碍和蛋白质平衡的失调,最终影响机体内稳态。在衰老的过程中,淀粉样蛋白聚集会引发多种蛋白质聚合疾病,如阿尔兹海默症和多发性肌炎。

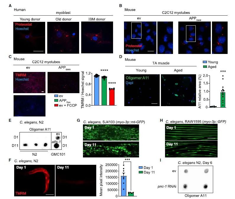
骨骼肌萎缩是衰老的重要特征之一,其特征是肌肉重量和功能的丧失,线粒体稳态下降,以及蛋白质平衡的失调。本篇文章中,研究人员发现,在自然衰老的过程中,线虫、小鼠以及人类衰老肌肉细胞中都存在淀粉样蛋白聚集物,并影响线粒体稳态。

不同物种老化肌肉中淀粉样蛋白聚集
随后,研究人员提升了线虫体内烟酰胺腺嘌呤二核苷酸(NAD+)的水平,并发现NAD+可以显著减少与年龄相关的淀粉样蛋白聚集,改善了线虫的健康状况和寿命。紧接着,研究团队将注意力转移到从老年受试者和包涵体肌炎(IBM)病人身上获取的人体肌肉组织上。研究结果表明,在人类细胞中,NAD+水平的提升同样改善了细胞内的蛋白质聚集现象和线粒体稳态。

提升NAD+的水平可以减少线虫中与年龄相关的淀粉样蛋白聚集
最后,研究人员还在年老小鼠身上测试了NAD+对逆转肌肉衰老的效果。结果表明,提升小鼠体内NAD+的水平,同样可以减少不同骨骼肌组织中淀粉样聚集物的数量和大小。

提升NAD+水平可以减少老年小鼠在肌肉细胞和体内的淀粉样沉积
通过这项研究,实验人员证实了与年龄相关的淀粉样蛋白聚集和线粒体功能障碍是导致肌肉衰老的一个重要促成因素,通过提升NAD+的含量,可以逆转肌肉衰老。基于这项研究,我们可以在未来的临床试验中检测提高线粒体质量的药物,从而逆转这些与年龄有关的蛋白毒性聚集物,使肌肉组织重新恢复活力。
参考文献:
[1] Mario Romani, Vincenzo Sorrentino, Chang-Myung Oh, Hao Li, Tanes Imamura de Lima, Hongbo Zhang, Minho Shong, Johan Auwerx.NAD+ boosting reduces age-associated amyloidosis and restores mitochondrial homeostasis in muscle.PMID: 33472069.PMCID: PMC7816122.DOI: 10.1016/j.celrep.2020.108660.
本文来自互联网用户投稿,文章观点仅代表作者本人,不代表本站立场,不承担相关法律责任。如若转载,请注明出处。 如若内容造成侵权/违法违规/事实不符,请点击【内容举报】进行投诉反馈!
