表观遗传研究丨Atlas Antibodies 抗组蛋白抗体
组蛋白(histone)是存在于真核生物体细胞染色体内的与DNA结合的碱性蛋白质,染色体中组蛋白以外的蛋白质成分称非组蛋白。组蛋白对染色体的结构起重要的作用。染色体是由重复单位──核小体组成。每一核小体包括一个核心8聚体(由4种核心组蛋白H2A、H2B、H3和H4的各两个单体组成),DNA便缠绕在核小体的核心上。而H1则与核小体间的DNA结合。
组蛋白的主要结构是组蛋白折叠结构域 (HFD),这是一种共享的保守结构,由通过两个环连接的三个α-螺旋组成。除了HFD,组蛋白还具有更独特的“尾巴”序列延伸到核小体颗粒之外,受到各种翻译后修饰 (PTM)。组蛋白上的 PTMs 对于基因表达的细胞调控很重要。
组蛋白变体具有不同的表观遗传目的,它们的出现可以是组织特异性的,也可以与某些发育阶段有关。例如,变体 H3.3和H2A.Z调节转录,而精子特异性变体TH2B和H2BFWT 有助于在精子发生过程中凝聚DNA。H3变体CENPA改变了包裹在核小体周围的DNA的方向,并存在于着丝粒DNA中。更大的组蛋白H2A变体macroH2A.1和macroH2A.2 富含女性灭活X染色体 (Xi),这表明在转录沉默中起作用。
艾美捷 Atlas Antibodies抗组蛋白抗体 ,基于来自对人类蛋白质图谱的认知,经过仔细的抗原设计和抗体的扩展验证表现。抗体专门针对组蛋白中低水平或没有翻译后修饰的区域,从而可以很好地显示组织/细胞系中任何组蛋白变体的总量。因此,在进行表观遗传研究时,Atlas Antibodies组蛋白抗体非常适合与靶向特定修饰的抗体结合使用。
比如:HIST1H3A抗体、HIST1H2AG抗体、HIST1H2AG抗体等等组蛋白抗体。

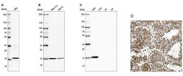
A-C: H2B抗体CAT#AMAb91337的WB检测结果。注意人HEL细胞裂解液样本(A) 、小鼠NIH-3T3和大鼠NBT-II细胞裂解液样本 (B) 中都存在预期大小的特定条带。WB 使用重组核心组蛋白变体进一步证实了抗体选择性,其中抗体仅结合H2B变体(C)。D:用H2B单克隆抗体AMAb91337对人睾丸进行IHC染色,如预期的那样在生精管细胞中显示出强烈的核免疫反应性。
来源:艾美捷
本文来自互联网用户投稿,文章观点仅代表作者本人,不代表本站立场,不承担相关法律责任。如若转载,请注明出处。 如若内容造成侵权/违法违规/事实不符,请点击【内容举报】进行投诉反馈!
